The esophagus is the tube that carries food and liquid between the mouth and stomach. It is designed to expand and contract rhythmically to move contents into the stomach quickly. When the esophagus is functioning as it should, food moves from the mouth to the stomach within seconds. Megaesophagus is a disorder in which the muscles of the esophagus dilate (gets larger) and loose tone. When this occurs, the food and liquid stay in the esophagus for a prolonged amount of time causing regurgitation, nausea, and damage to the lining of the esophagus.
Causes
The disorder can either be primary (congenital) or secondary (acquired).
Congenital ME
Congenital megaesophagus is believed to occur due to incomplete nerve development in the esophagus. There is hope for these puppies because nerve development can improve as the pet matures. Dog breeds known to have predisposition to congenital megaesophagus include:
- Chinese Shar-Peis
- Fox Terriers
- German Shepherds
- Great Danes
- Irish Setters
- Labrador Retrievers
- Miniature Schnauzers
- Newfoundlands
- Rhodesian Ridgebacks
Vascular Ring Anomaly is similar congenital problem. This is a band of tissue encircling and constricting the esophagus. The tissue bands are remnants of fetal blood vessels which are supposed to disappear before birth. In this case they remain and cause megaesophagus. Improvement is obtained when the band is surgically cut however 60 percent of the cases retain some persistent regurgitation. Surgery should be performed as soon as possible after onset of clinical signs to reduce residual damage to esophageal muscles and nerves.
Secondary (acquired) ME
If the megaesophagus is secondary to another disease, there is potential to treat that other disease and greatly improve or even resolve the megaesophagus.
Myasthenia Gravis is the most common cause of secondary megaesophagus in the dog. Acquired myasthenia Gravis (MG) is an autoimmune disease of the neuromuscular junction (NMJ) that causes generalized muscular weakness and fatigue.
Addison’s disease (hypoadrenocorticism) has also been associated with megaesophagus. This condition represents a deficiency of cortisone production by the adrenal gland. This deficiency alters the metabolism of esophageal muscle. In this case, the megaesophagus can frequently be resolved, if not greatly improved, with treatment of the Addison’s.
Dysautonomia is a rare condition that involves a total disruption of the entire autonomic nervous system leading to difficulty urinating, dilated pupils, flaccid colon (megacolon), flaccid anal tone, poor tear production and megaesophagus. Successful treatment is unlikely so it is helpful to recognize this group of sign so that humane euthanasia can be considered.
Stricture. Scarring in the esophagus can occur following a foreign body obstruction or from severe vomiting leading to a stricture. This may interrupt neurologic transmissions or even narrow the esophagus. This is not a true megaesophagus because the muscles are working normally. Special balloons can be inserted in the esophagus to dilate the narrowed area but some residual regurgitation is likely to persist. Tumors of the esophagus may have similar effects in that they, too, can cause obstruction.
Diagnosis
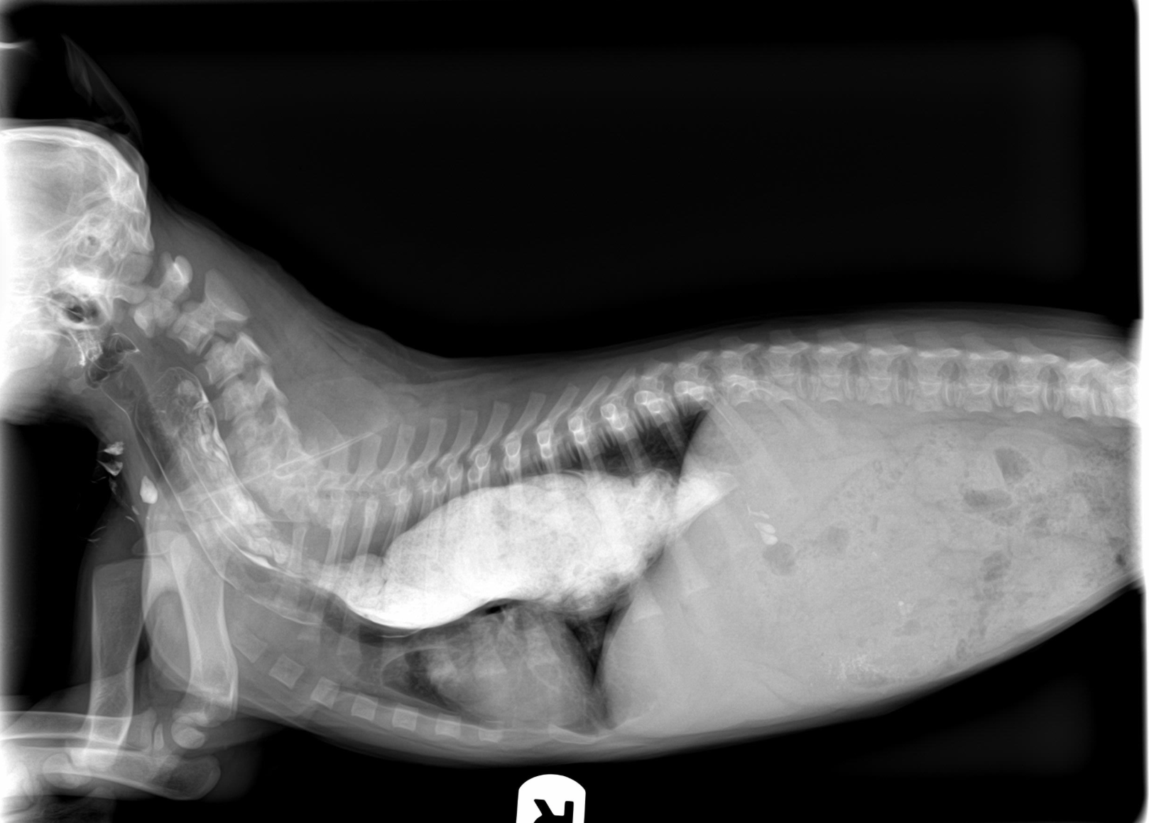
Diagnosis is made by radiographs of the chest. Sometimes positive contrast radiography (as seen below), esophagoscopy or fluoroscopy (real-time xray) may be necessary to make a definitive diagnosis in mild cases.
Symptoms
When esophageal motility is decreased or absent, food and liquid accumulate in the esophagus and have difficulty reaching the stomach. This leads to symptoms of:
- Regurgitation
- Excessive swallowing
- Drooling
- Nausea
- Low body weight
Dogs with megaesophagus often develop secondary aspiration pneumonia. As they regurgitate they inhale liquids or food down the trachea to their lungs.
Symptoms of aspiration pneumonia include labored breathing, a rattling noise with breathing and generalized weakness. This condition is life-threatening and requires immediate medical attention. Dogs with repeated bouts of aspiration pneumonia have a poorer prognosis.
Treatment
Sadly, for patients with moderate to severe megaesophagus the long term prognosis is grave. ????. However, if caught early and if it is a mild case of megaesophagus, it can be often be managed.
1. Feedings
Upright feedings- Gravity aids digestion by pulling the food down to the stomach. The Bailey chair is the most popular option. Here is where you can purchase one of these chairs-bailey chair
Food Consistency
The first step is to determine if the dog does better with a liquid or solid diet. Experimenting with different food consistencies including water versus ice chips is necessary. Some animals do better with solid foods and some do better with liquefied diets.
2. Medications
Certain medications can also be of benefit. One is Sildenafil (generic viagra) which opens the sphincter between the stomach and esophagus. This facilitates getting food out of the esophagus and into the stomach where it belongs.
Sucralfate is a good addition to the megaesophagus treatment regimen. Sucralfate forms protective webbing over any inflamed areas in the esophagus allowing for healing.
Another medication geared at improving the muscle coordination and contraction strength of the esophagus is bethanechol. This medication helps strengthen the muscarinic nerve receptors in the esophagus ultimately improving muscle tone. Studies using this medication are on-going.
Secondary megaesophagus due to Myasthenia Gravis can often be managed with oral pyridostigmine bromide, an anticholinesterase medication. For patients that fail to respond to such drugs, immunosuppression therapy may be considered.

Prognosis
Congenital megaesophagus is very difficult and time-consuming to manage unless it is due to a vascular ring anomaly (which can be fixed surgically). It takes a committed dog guardian to nurse a puppy with congenital megaesophagus. It also takes emotional strength because many of these puppies, sadly, do not survive into adulthood.
The prognosis for secondary megaesophagus due to a foreign body obstruction depends on how quickly the foreign object is removed and the residual damage to the esophagus. Tumors of the esophagus have a grave prognosis.
All in all, megesophagus is a terrible condition that I hope none of you will have to face with your dogs. But if you do, I hope that this blog will help guide you through your journey of managing a dog with this condition.